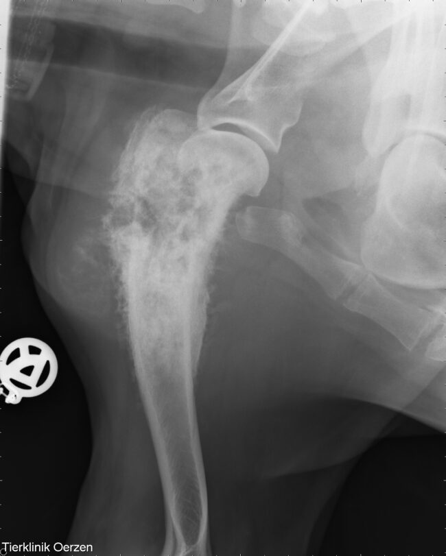
Osteosarkom beim Hund
Das Osteosarkom ist die glaub ich am häufigsten Krebserkrankung die es mittlerweile gibt. Wir haben schon viele Patienten mit Osteosarkom betreut, manche wurden noch amputiert und bei anderen war es so weit Fortgeschritten das man nicht mehr amputieren konnte. Das Osteosarkom ist ein primärer Knochentumor, das heißt der Tumor entsteht im Knochen, metastasiert aber nicht…
